Our Dental Implant Team
Our Implant Dentists have undertaken years of training to allow them to provide the highest quality treatment using the most cutting-edge techniques. Stephen is one of very few dentists to hold a formal qualification in Dental Implants from the Royal College of Surgeons (DipImpDent RCSEd). This qualification demonstrates his years of training and expertise in the field.
When undertaking Same-Day-Smiles or Implant Retained Dentures Stephen works closely with Julian. Julian is a Clinical Dental Technician with years of experience in these procedures. Their close working relationship allows them to get predictably great results.
Are missing teeth getting you down?
Living with loose or missing teeth can be a struggle. Healthy teeth are an important part of a healthy body. Bad teeth can affect more than just your general health - not being able to smile with confidence can affect our emotional well being too.
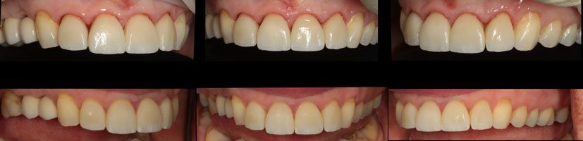
With modern implant techniques, we can now give you your smile back. At Evesham Place Dental we use cutting edge dental implant techniques to restore your smile and give you your self-confidence back.
From individual teeth to a full row of teeth, dental implants can look and feel incredibly natural.
Using modern ‘teeth-in-a-day’ techniques, we can replace a whole row of teeth in a single morning. Even if you have been told in the past that you haven’t got enough bone for dental implants, we can often help.
Conscious sedation puts these treatments within reach of even the most nervous patients.
What are Dental Implants?
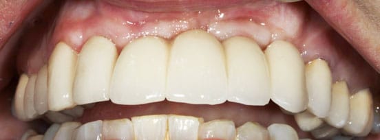
Dental Implants are fixed, permanent teeth which can look extremely natural, maintain your bite and allow you to chew and function naturally.
The Dental Implant is fitted in the jaw and new teeth are then fixed onto the implant giving you a great replacement of your missing natural tooth or teeth.
Dental Implants can be used to replace anything from one tooth to a whole row of missing teeth. They can also be used to help hold dentures in.
Click on the links above for more information on each of these scenarios.
What are the benefits of Dental Implants?
Dental Implants are our best way of replacing missing teeth. They have lots of benefits:
- They are fixed, which means that they stay in your mouth and aren’t taken out at night
- They look great, they can often look completely natural and indistinguishable from real teeth
- They don’t damage your adjacent teeth
- They maintain your bite
- They allow you to chew naturally
- They stimulate the surrounding jaw bone which prevents the bone from shrinking. This helps to maintain your facial structures and appearance after tooth loss.
Frequently Asked Questions
We can lose teeth for lots of reasons such as dental decay, gum disease, cracks or trauma. When we lose a tooth it creates lots of problems:
-
- Obviously it can look bad, particularly if it is a front tooth.
- Difficulty with eating.
- It leaves an annoying gap that our tongue is attracted to.
- The teeth next door and above or below move into the space by tilting or growing down. This creates problems with the bite. It also creates hard to clean areas which can result in gum disease and tooth decay.
- The jaw bone around the missing tooth shrinks which can change the appearance of the face.
This video shows what happens when a tooth is lost. The neighboring teeth drift into the space which leaves areas around them which are hard to clean. This can then lead to gum disease and tooth decay. It also causes problems with the bite.
How can I replace missing teeth?
Three main ways to replace missing teeth, but dental implants are the most modern and are regarded as the ‘gold standard’ in most cases. Other methods of replacing missing teeth such as dentures or dental bridges can cause problems of their own











